Úvod On-line Guide to Diagnostic Electron Microscopy 1. Cell and matrix pathology, unusual structures, artifacts
On-line Guide to Diagnostic Electron Microscopy

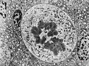
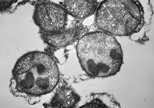
M,39y. | mitosis - chromophobic pituitary adenoma

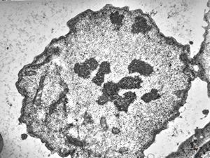
M,62y. | mitosis - plasmocytoma

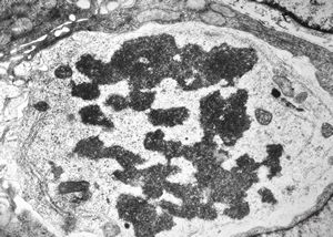
F,35y. | mitosis - intestine, celiakia

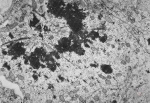
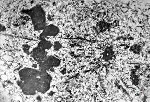
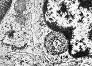
M,4y. | mitosis - retroperitoneal neuroblastoma

M,59y. | mitosis - angiomatous tumor, Kaposi sarcoma v.s.

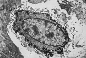
F,52y. | intranuclear inclusions - plasmocytoma

F,61y. | intranuclear cytoplasmic inclusion - giant cell hepatitis

M, | intranuclear inclusion - plasmocyte, tonsilla palatina

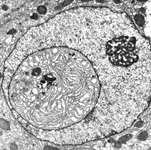
M,61y. | activated nucleolus - salivary gland

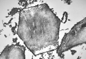
F,76y. | intranuclear needle-like structures - rhabdomyoma,tongue

F,76y. | intranuclear needle-like structures - rhabdomyoma,tongue

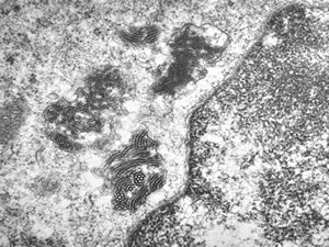
M,1y. | unusually cup-shaped mitochondria - plexus papilloma

M,1y. | intramitochondrial inclusion - plexus papilloma

M,15y. | megamitochondria with lamellar inclusions in hepatocyte - Wilson disease

M,12y. | multiple mitochondria in oncocyte - Ewing sarcoma

M,2y. | dense mitochondrial inclusions - clinically susp. Zellweger syndrome

F,12y. | swollen mitochondria - duodenal tumor

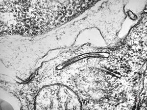
M,21y. | annulate lamellae - intracranial germinoma

M,21y. | annulate lamellae - intracranial germinoma

M,5y. | inclusions in the endoplasmic reticulum - cerebellar ganglioneuroblastoma

M, | rinclusions in the endoplasmic reticulum … unclassified abdominal tumor

F,52y. | inclusions in the endoplasmic reticulum - plasmocytoma

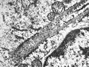
M,51y. | tubular convolution - scrotal sarcoma

M,51y. | tubular convolution - scrotal sarcoma

F,6y. | tubular convolution, perhaps obliquely sectioned - epithelial tumor of the lip

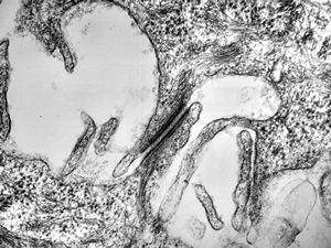
M,22y. | pinocytotic vesicles in the endothelial cell

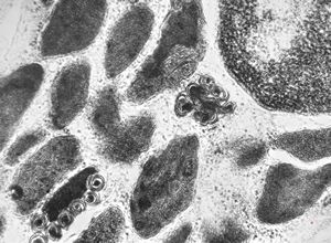
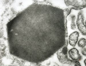
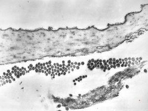
M,7m. | a formation of Birbeck granule(Langerhans granule, X-granule) - skin, histiocytosis X

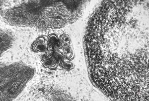
M,7m. | Birbeck granules (Langerhans granules, X-granules) - skin, histiocytosis X

M,7m. | Birbeck granules (Langerhans granules, X-granules) - skin, histiocytosis X

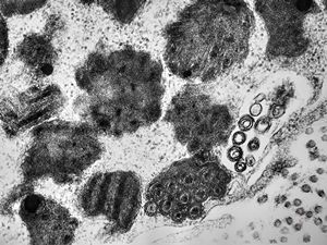
M,1y. | Birbeck granules (X-granules) - skin, histiocytosis X

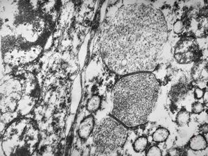
M,1y. | Birbeck granule (X-granule) - skin, histiocytosis X

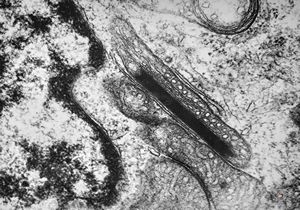
M,26y. | ribosome-lamella bodies in adenocarcinoma

M,41y. | ribosome-lamella complex in tricholeukocyte -hairy cell leukemia, spleen

M,41y. | ribosome-lamella complex in tricholeukocyte -hairy cell leukemia, spleen

M,41y. | ribosome-lamella complex in tricholeukocyte -hairy cell leukemia, spleen

M,18y. | tubuloreticular complex in lymphocyte - unclassified hematologic disorder

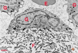
M,59y. | endothelial Weibel-Palade tubular body - angiomatous tumor, v.s.Kaposi

M,11y. | mast cell - skin

M,3y. | mast cell - n. suralis, Krabbe globoid leukodystrophy

F,23y. | mast cell - n. suralis, demyelinating neuropathy

M,3y. | mast cell - granules with scroll-like formations - n. suralis, Krabbe globoid leukodystrophy

M,3y. | mast cell - granules with scroll-like formations - n. suralis, Krabbe globoid leukodystrophy

F,23y. | mast cell - granules with scroll-like formations - n. suralis, demyelinating neuropathy

F,31y. | mast cell - granules with scroll-like formations - n. suralis, demyelinating neuropathy

M,12y. | mast cell - granules with scroll-like formations - skin, urticaria pigmentosa

M,15y. | lipid droplet in cardiomyocyte … heart

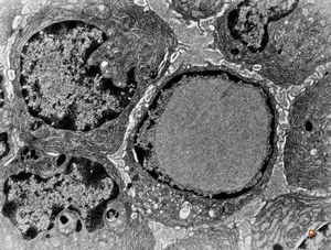
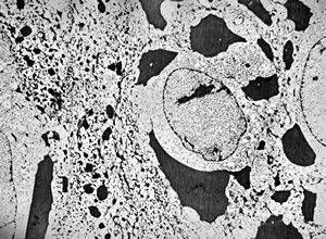
F,64y. | septate junctions between giant multivesicular bodies … uterus, stromal sarcoma

F,64y. | septate junctions between giant multivesicular bodies … uterus, stromal sarcoma

M,51y. | septate junctions between giant multivesicular bodies - lung, necrotizing pneumonia

M,76y. | septate junctions between degraded organelles - mesothelioma

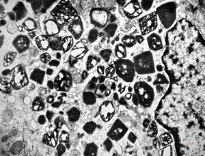
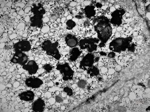
M,62y. | crystalline inclusion in endoplasmic reticulum - bone marrow, plasmocytoma

M,62y. | crystalline inclusion in endoplasmic reticulum - bone marrow, plasmocytoma

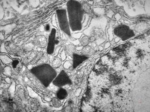
M, | crystalline inclusions in plasmocyte

M, | crystalline inclusions in plasmocyte

M,15y. | crystalline inclusion in plasmocyte - histiocyto-eosinophilic granuloma

M,58y. | crystalline inclusions in hepatocyte after unknown medication

M,58y. | crystalline inclusions in hepatocyte after unknown medication

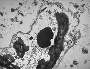
M,43y. | Auer bodies - myeloid leukemia v.s.

F,1y. | Charcot-Leyden crystal - histiocytosis X

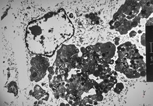
M,59y. | crystalline inclusions in plasmocyte - plasmocytoma

M,43y. | Auer bodies - myeloid leukemia v.s.

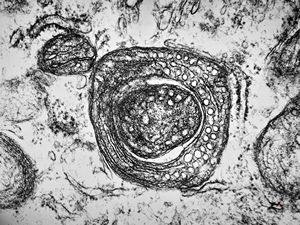
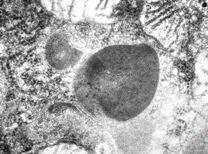
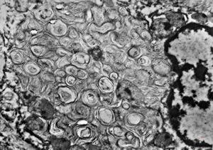
myelinoid inclusion

myelinoid inclusion in an unclassified tumor - peroxisome?

myelinoid inclusion in an unclassified tumor - peroxisomes?

M,54y. | periodic nematosome-like intracytoplasmic configuration in an unclassified peritoneal tumor

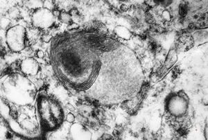
M,6m. | myelinoid inclusions in cerebral neuron - Nieman-Pick disease

M,6m. | myelinoid inclusions in cerebral neuron - Nieman-Pick disease

M,17y. | increased amount of lipofuscin in hepatocyte - hyperbilirubinemia, Gilbert or Dubin-Jones syndrome

F,46y. | large keratohyalin granules in epidermal cells - verruca vulgaris

F,49y. | promelanosome

M,71y. | promelanosome - skin melanoblastoma

promelanosome and melanosomes

F,54y. | giant complex melanosomes … melanotic carcinosarcoma - uterus

F,54y. | giant complex melanosomes … melanotic carcinosarcoma - uterus

clotted blood - fibrin and granulocytes

F,44y. | striations of fibrin - heart atrium, myxoma

M,28y. | striations of fibrin - aortal valve, endocarditis

F,23y. | desmosome - normal oral mucosa

F,23y. | desmosome - normal oral mucosa

M,12y. | intracytoplasmic desmosome - pineal germinoma

M,12y. | intracytoplasmic desmosome - pineal germinoma

F,23y. | hemidesmosomes, basement membrane and anchoring fibrils … normal oral mucosa

F,7y. | glycocalyx on microvillus - nasal mucosa

F,7y. | glycocalyx on microvillus - nasal mucosa

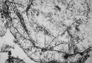
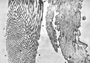
F,39y. | collagen and elastin - aorta

F,39y. | collagen, elastin and oxytalan microfibrils

F,45y. | collagen fibril - skin

F,29y. | collagen, elastin and oxytalan microfibrils - endomyocardial fibrosis

M,71y. | amyloid - glandula vesiculosa

M,71y. | amyloid - glandula vesiculosa

M,56y. | amyloid - tendon

F,17y. | dystrophic calcification in a scar

M,63y. | dystrophic calcification in plexus chorioides

M, | dystrophic calcification and malaric pigment - brain

F,71y. | silver pigment in epidermal stratum corneum

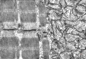
rat | skeletal muscle 6h. post ex. … changes of mitochondrial cristae
Download PDF with higher resolution
Contents
- Introduction
- 1. Cell and matrix pathology, unusual structures, artifacts
- 2. Infectious agents (viruses, bacteria, fungi, parasites)
- 3. Respiratory tract
- 4. Oral cavity, salivary glands
- 5. Gastrointestinal tract
- 6. Liver, gallbladder, pancreas
- 7. Cardiovascular system
- 8. Blood, bone marrow, spleen, lymphatic system
- 9. Urinary tract
- 10. Male reproductive system
- 11. Female reproductive system
- 12. Breast
- 13. Skin
- 14. Bone and joints
- 15. Soft tissues (connective tissue, muscles, peripheral nerves)
- 16. Endocrine system
- 17. Inborn metabolic disorders
- 18. Eye and ear
- 19. Central and peripheral nervous system
- 20. Atlas of Ultrastructural Neurocytology