Úvod On-line Guide to Diagnostic Electron Microscopy 2. Infectious agents (viruses, bacteria, fungi, parasites)
On-line Guide to Diagnostic Electron Microscopy

rotavirus isolated from intestine

adenovirus in tissue culture - paracrystalline formation

papilomavirus - verruca vulgaris

papilomavirus - verruca vulgaris

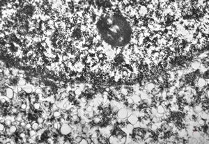
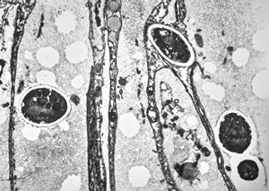
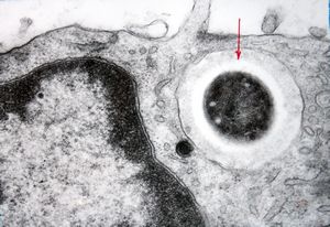
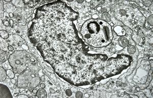
F,50y. | papilomavirus in glial cell - progressive multifocal leukodystrophy

F,50y. | papilomavirus in glial cell - progressive multifocal leukodystrophy

F,50y. | papilomavirus in glial cell - progressive multifocal leukodystrophy

F,50y. | papilomavirus in glial cell - progressive multifocal leukodystrophy

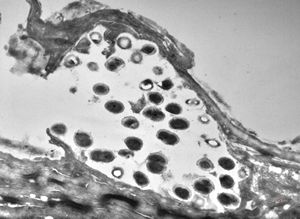
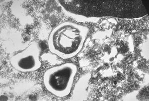
poxvirus - molluscum contagiosum

poxvirus - molluscum contagiosum

poxvirus - molluscum contagiosum

poxvirus - molluscum contagiosum

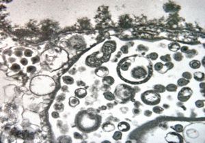
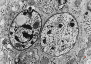
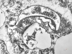
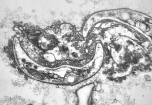
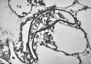
M,10y. | herpes virus - herpetic encephalitis

M,10y. | herpes virus - herpetic encephalitis

F,65y. | Epstein-Barr virus - hairy leukoplakia of tongue

F,65y. | Epstein-Barr virus - hairy leukoplakia of tongue

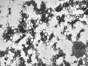
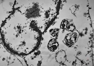
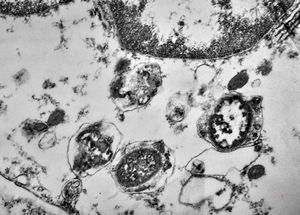
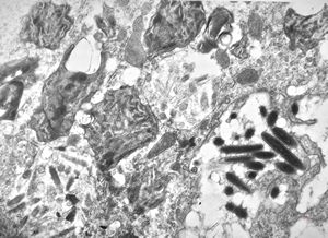
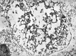
cytomegalovirus - pneumonia

cytomegalovirus - pneumonia

cytomegalovirus - pneumonia

cytomegalovirus - pneumonia

cytomegalovirus - pneumonia

M,67y. | herpetic encephalitis (parafin embedded sample)

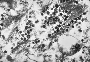
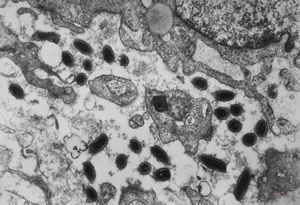
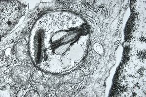
M,11d. | herpes virus, adrenal

M,11d. | herpes virus, adrenal

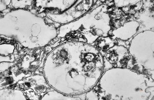
M,2y. | viral particles ? in hepatocyte

M,2y. | viral particles ? in hepatocyte

M,2y. | viral particles ? in hepatocyte

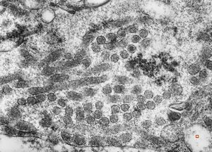
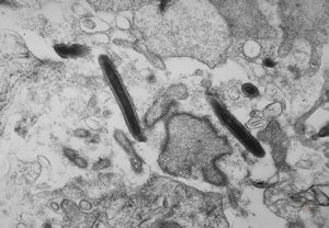
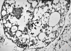
F,8y. | varicella pneumonia

F,8y. | varicella pneumonia

F,8y. | varicella pneumonia

M,8m. | herpes virus, liver

herpes virus in tissue culture

M,53y. | herpetic esophagitis

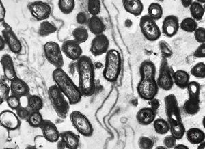
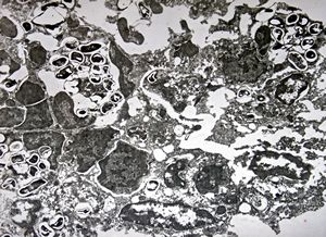
staphylococcal bacteriophage

staphylococcal bacteriophage

staphylococcal bacteriophage

staphylococcal bacteriophage

lactobacillar bacteriophage (bovine milk)

lactobacillar bacteriophage (bovine milk)

F,33y. | "ground glass" hepatocyte … filamentous inclusions ofhepatitis B surface antigen(HBsA)

transversally cut microvillus - none virus! (stomach)

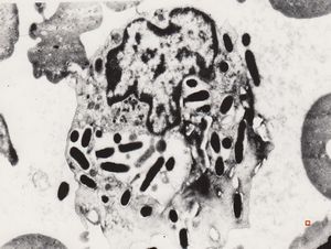
Pneumococcus

Pneumococcus

Staphylococcus aureus

Pseudomonas aeruginosa

E.coli

Proteus Hauseri

oral saprophytic bacterial flora

oral saprophytic bacterial flora

oral saprophytic bacterial flora

oral saprophytic bacterial flora

Borrelia Burgdorferi isolated from liquor

M,35y. | bacilliform microbes in haemoperfusion capsule

M,44y. | dermatomycosis (microbes superficially, fungi deeper)

M,44y. | dermatomycosis

Candida albicans

M,57y. | necrotizing pneumonia … unidentified microbes

M,44y. | unidentified cocci clin. dg. - granuloma venereum

M,57y. | dermatomycosis

M,57y. | dermatomycosis - semithin section

F,1m. | sepsis … mycotic skin lesions

M,68y. | epidermis … otitis externa (mycotic v.s.)

M,39y. | skin - folliculitis

M,39y. | skin - folliculitis

M,39y. | skin - folliculitis

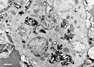
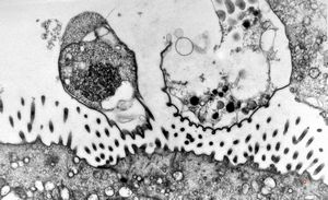
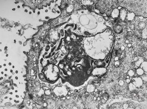
F,43y. | phagocytosed microbes - bacteriaemia

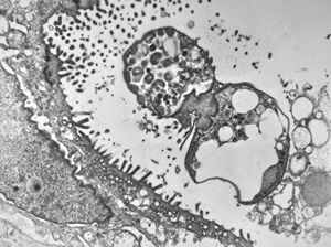
F,49y. | phagocytosed microbes - purulent meningitis

F,49y. | phagocytosed microbes - purulent meningitis

F,49y. | phagocytosed microbes - purulent meningitis

Helicobacter pylori - stomach - Warthin-Stary silver impregnation

M,82y. | Helicobacter pylori - antrum pylori

M,82y. | Helicobacter pylori - antrum pylori

M,54y. | Whipple disease - duodenum

M,54y. | Whipple disease - duodenum

F,41y. | Whipple disease - duodenum

F,41y. | Whipple disease - duodenum

Whipple disease - duodenum

Whipple disease - duodenum

F,52y. | spirochetosis - colon

F,52y. | spirochetosis - colon

phagocytosed Nocardia (Actinomycetales)in brain abscess

M,43y. | fungi in blood (Candida v.s.) - mycoseption

M,43y. | fungi in blood (Candida v.s.) - mycoseption

M,43y. | fungi in blood (Candida v.s.) - mycoseption

M,59y. | Histoplasma capsulatum - lung

M,59y. | Histoplasma capsulatum - lung

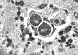
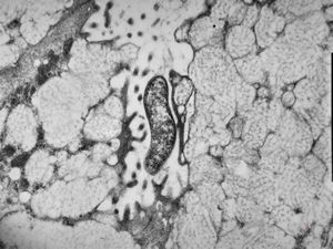
M,46y. | Entamoeba histolytica - intestine

M,46y. | Entamoeba histolytica - intestine

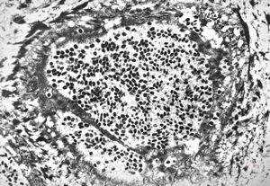
F,69y. | Toxoplasma gondii … brain … (radiation and chemotherapy)

Nosema - brain, rabbit

Nosema - brain, rabbit

Nosema - brain, rabbit

Nosema - brain, rabbit

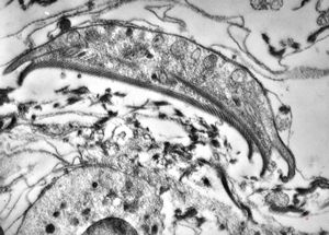
M,28y. | Leishmania - skin

M,28y. | Leishmania - skin

M,28y. | Leishmania - skin

M,28y. | Leishmania - skin

M,28y. | Leishmania - skin

M,28y. | Leishmania - skin

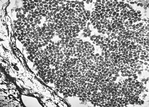
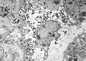
M,50y. | Pneumocystis carinii

M,50y. | Pneumocystis carinii

M,50y. | Pneumocystis carinii

M,50y. | Pneumocystis carinii

M,50y. | Pneumocystis carinii

M,3m. | Pneumocystis carinii

M,3m. | Pneumocystis carinii

M,33y. | cryptosporidiosis - duodenum, im | munodeficient pacient, HE and toluidine blue staining

M,33y. | cryptosporidiosis - duodenum, im | munodeficient pacient

M,33y. | cryptosporidiosis - duodenum, im | munodeficient pacient

M,33y. | cryptosporidiosis - duodenum, im | munodeficient pacient

M,33y. | cryptosporidiosis - duodenum, im | munodeficient pacient

M,33y. | cryptosporidiosis - duodenum, im | munodeficient pacient

Giardia (lamblia) intestinalis

Giardia (lamblia) intestinalis

Giardia (lamblia) intestinalis

Giardia (lamblia) intestinalis

Giardia (lamblia) intestinalis

Giardia (lamblia) intestinalis

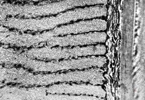
Oxyuris vermicularis - muscular wall

Oxyuris vermicularis - muscular wall

Oxyuris vermicularis - muscular wall
Download PDF with higher resolution
Contents
- Introduction
- 1. Cell and matrix pathology, unusual structures, artifacts
- 2. Infectious agents (viruses, bacteria, fungi, parasites)
- 3. Respiratory tract
- 4. Oral cavity, salivary glands
- 5. Gastrointestinal tract
- 6. Liver, gallbladder, pancreas
- 7. Cardiovascular system
- 8. Blood, bone marrow, spleen, lymphatic system
- 9. Urinary tract
- 10. Male reproductive system
- 11. Female reproductive system
- 12. Breast
- 13. Skin
- 14. Bone and joints
- 15. Soft tissues (connective tissue, muscles, peripheral nerves)
- 16. Endocrine system
- 17. Inborn metabolic disorders
- 18. Eye and ear
- 19. Central and peripheral nervous system
- 20. Atlas of Ultrastructural Neurocytology