On-line Guide to Diagnostic Electron Microscopy

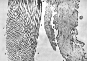
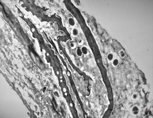
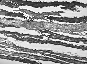
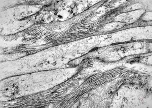
F, 39y. | collagenous and elastin fibers from corium

F, 39y. | collagenous and elastin fibers from corium

F,68y. | collagenous and elastin fibers from corium

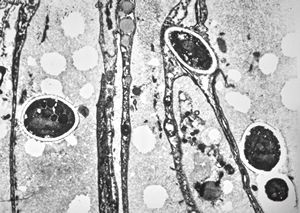
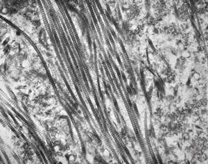
M, 3y. | cutaneous nerve

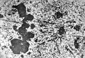
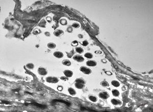
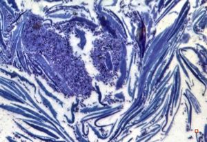
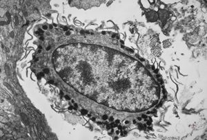
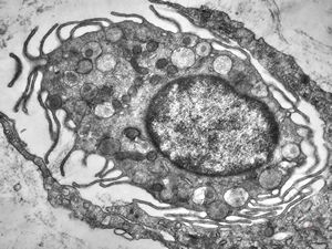
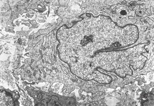
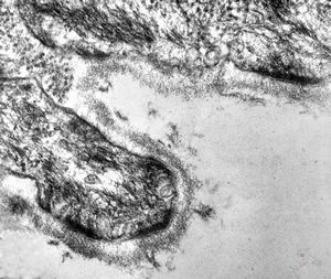
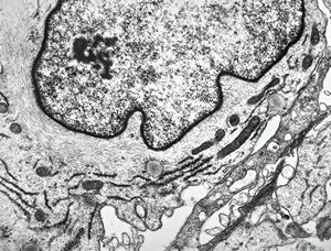
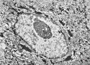
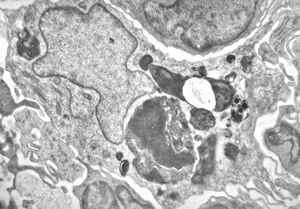
M, 62y. | mitosis … angiomatous tumor, v.s. Kaposi sarcoma

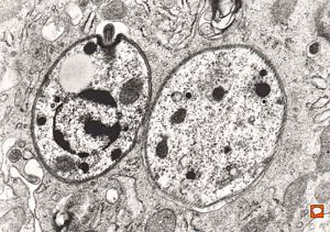
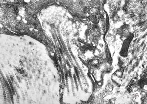
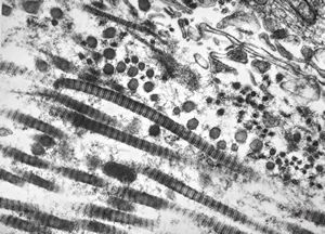
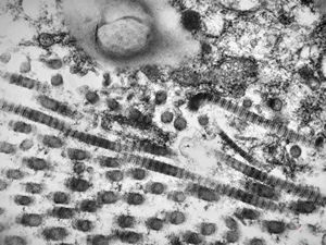
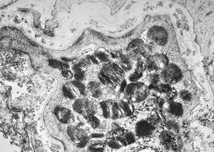
F, 46y. | verruca vulgaris … intranuclear virions

F, 46y. | verruca vulgaris … intranuclear virions

F, 46y. | verruca vulgaris … intranuclear virions

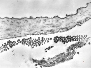
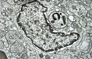
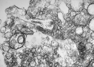
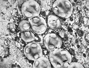
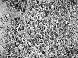
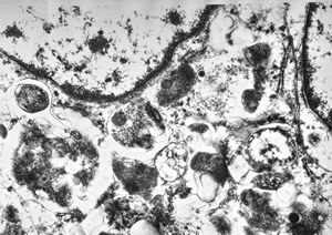
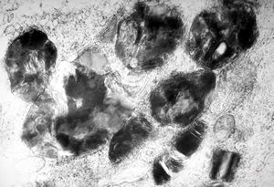
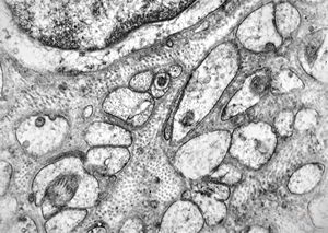
F, 24y. | molluscum contagiosum … virions

F, 24y. | molluscum contagiosum

F, 24y. | molluscum contagiosum

F, 7y. | molluscum contagiosum … virions

F, 7y. | molluscum contagiosum … virions

F, 24y. | molluscum contagiosum … virions

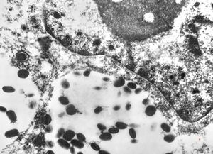
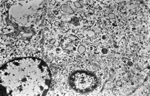
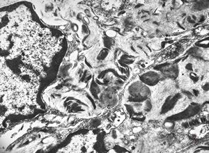
M, 60y. | otitis externa … microbes (fungi?) on the epidermal surface

M, 60y. | otitis externa … microbes (fungi?) on the epidermal surface

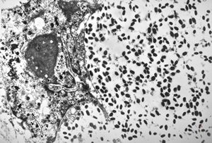
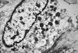
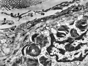
F, 1m. | sepsis - mycotic dermal lesions

M, 57y. | dermal mycotic lesion

M, 57y. | dermal mycotic lesion … toluidine-blue stained semithin section

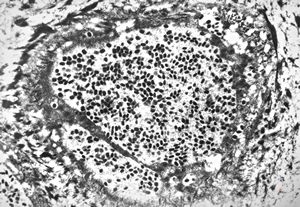
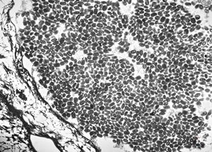
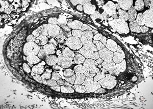
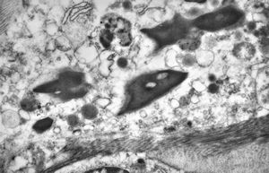
M, 28y. | leishmaniosis … skin of the cheek

M, 28y. | leishmaniosis … skin of the cheek

stabbed hypostom of the tick … toluidine-stained semithin section

stabbed hypostom of the tick … toluidine-stained semithin section (montage)

M, 60y. | superficial epidermal cells - lentigo

silver pigment among keratinized epidermal cells after application of silver nitrate

M, 11y. | mast cell

M, 12y. | urticaria pigmentosa

F, 1y. | urticaria pigmentosa

F, 1y. | urticaria pigmentosa

M, 13y. | mast cell

F, 6y. | urticaria pigmentosa

F, 46y. | verruca vulgaris … prominent keratohyalin granules

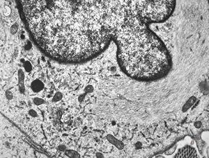
M, 7m. | histiocytosis X (eosinophilic granuloma) … Langerhans cell

M, 1y. | histiocytosis X (eosinophilic granuloma) … Langerhans cell

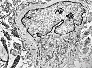
M, 1y. | histiocytosis X (eosinophilic granuloma) - Birbeck body

M, 1y. | histiocytosis X (eosinophilic granuloma) - Birbeck body

M, 7m. | hhistiocytosis X (eosinophilic granuloma) - Birbeck bodies

M,7m. | histiocytosis X (eosinophilic granuloma) … formation of Birbeck body

M, 7m. | histiocytosis X (eosinophilic granuloma) - Birbeck body

M, 1y. | histiocytosis X (eosinophilic granuloma) - Birbeck bodies

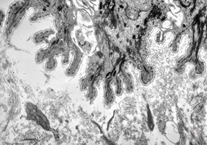
F, 1y. | epidermolysis bullosa … dystrophic form

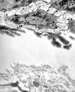
M, 22y. | epidermolysis bullosa - junctional type

M, 22y. | epidermolysis bullosa - junctional type, uncompletely separated basement membrane

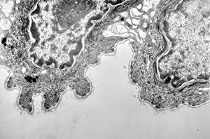
M, 1y. | epidermolysis bullosa … junctional type

M, 1y. | epidermolysis bullosa … junctional type

F, 41y. | epidermolysis bullosa … dystrophic type

F, 41y. | epidermolysis bullosa … dystrophic type

F, 41y. | epidermolysis bullosa … dystrophic type

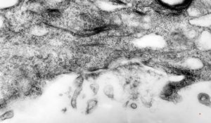
M, 1y. | epidermolysis bullosa … junctional type … rudimentary hemidesmosomes, missing anchoring fibrils

M, 1y. | epidermolysis bullosa … junctional type … rudimentary hemidesmosomes, missing anchoring fibrils

M, 1y. | epidermolysis bullosa … junctional type

M, 1y. | epidermolysis bullosa … junctional type

M, 1y. | epidermolysis bullosa … junctional type

M, 1y. | epidermolysis bullosa … junctional type

M, 1y. | epidermolysis bullosa … junctional type

F, 1y. | epidermolysis bullosa … dystrophic form

melanoblastoma - promelanosome

M, 71y. | melanoblastoma - promelanosomes

M, 71y. | melanoblastoma - promelanosome

M, 40y. | reticular erythematous mucinosis

M, 40y. | reticular erythematous mucinosis

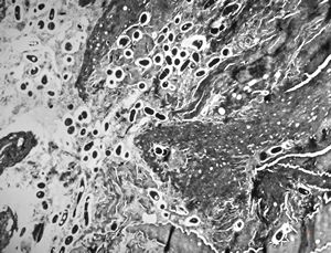
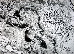
M, 40y. | unclassified skin inflammation … alterated collagen

M, 40y. | unclassified skin inflammation … phagocytosed of collagen

F, 47y. | phagocytosed collagen (unclassified dermal lesion)

F, 47y. | phagocytosed collagen (unclassified dermal lesion)

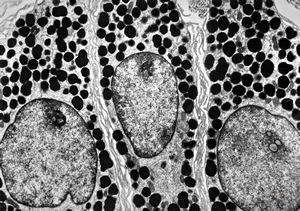
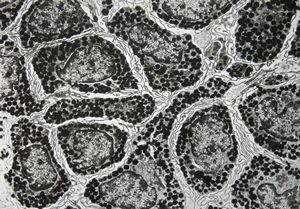
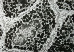
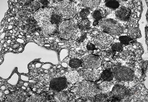
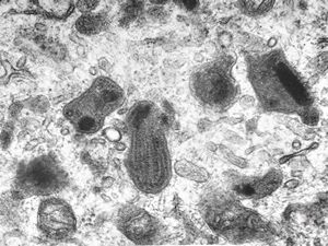
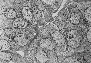
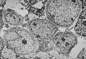
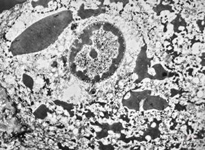
F, 49y. | myelosarcoma … histiocyte-like cells in dermal infiltrates

F, 49y. | myelosarcoma … histiocyte-like cells in dermal infiltrates

F, 49y. | myelosarcoma … histiocyte-like cells in dermal infiltrates

F, 49y. | myelosarcoma … histiocyte-like cells in dermal infiltrates

F, 49y. | myelosarcoma … histiocyte-like cells in dermal infiltrates

F, 49y. | myelosarcoma … histiocyte-like cells in dermal infiltrates

F, 49y. | myelosarcoma … histiocyte-like cells in dermal infiltrates

F, 49y. | myelosarcoma … histiocyte-like cells in dermal infiltrates

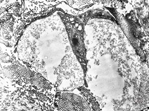
F, 45y. | necrobiosis lipoidica

F, 45y. | necrobiosis lipoidica

F, 45y. | necrobiosis lipoidica

F, 45y. | necrobiosis lipoidica

F, 45y. | necrobiosis lipoidica

F, 45y. | necrobiosis lipoidica

F, 45y. | necrobiosis lipoidica

F, 45y. | necrobiosis lipoidica

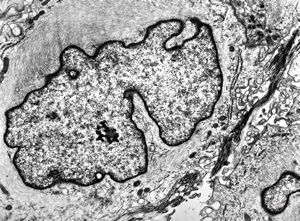
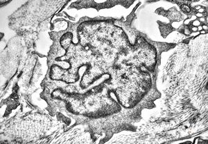
M, 62y. | angiomatous tumor, v.s. Kaposi sarcoma

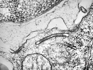
M, 62y. | Weibel-Palade body - angiomatous tumor, v.s. Kaposi sarcoma

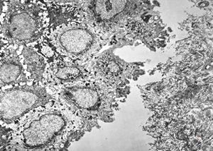
F, 57y. | cylindroma

F, 85y. | Merkel cell tumor

F, 85y. | Merkel cell tumor

F, 71y. | Merkel cell tumor

F, 71y. | Merkel cell tumor

M, 38y. | granular cell tumor

M, 38y. | granular cell tumor

M, 38y. | granular cell tumor

F, 75y. | skin metastasis of mucinous adenocarcinoma

F, 75y. | skin metastasis of mucinous adenocarcinoma

F, 11y. | ichthyosis hystrix type Curth-Macklin

F, 11y. | ichthyosis hystrix type Curth-Macklin

F, 11y. | ichthyosis hystrix type Curth-Macklin

F, 11y. | ichthyosis hystrix type Curth-Macklin

F, 11y. | ichthyosis hystrix type Curth-Macklin

F, 11y. | ichthyosis hystrix type Curth-Macklin

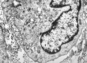
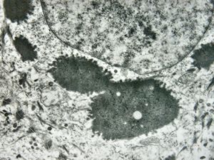
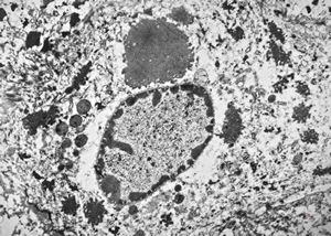
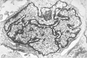
M, 11y. | mycosis fungoides v.s. - cerebriform nucleus of Sézary cell

F, 57y. | mycosis fungoides … cerebriform nucleus of Sézary cell

F, 37y. | mycosis fungoides … cerebriform nucleus of Sézary cell

M, 70y. | mycosis fungoides - Sézary cell

M, 70y. | mycosis fungoides - Sézary cell

F, 36y. | Sézary-like cell - generalized eruptive histiocytoma

M, 80y. | mycosis fungoides

F, 36y. | generalized eruptive histiocytoma - cerebriform nucleus - Sezary cell

F, 36y. | generalized eruptive histiocytoma - histiocyte

M, 43y. | myeloid leukemia

M, 43y. | myeloid leukemia … Auer bodies

M, 43y. | myeloid leukemia … Auer bodies

M, 43y. | myeloid leukemia … Auer bodies

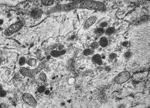
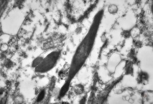
F, 35y. | crystalline inclusions in plasmocyte

M, 48y. | multiplication of dermal perivascular basement membranes (unclassified myopathy)

F, 48y. | lupus erythematodes … multiplicated vascular basement membrane

F, 48y. | lupus erythematodes … multiplicated vascular basement membrane

F, 48y. | lupus erythematodes … multiplicated vascular basement membrane

M, 3y. | lipofuscinosis

M, 3y. | lipofuscinosis

M, 3y. | lipofuscinosis

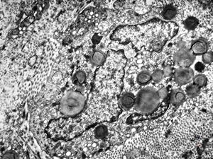
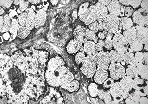
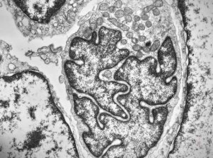
M, 17y. | Fabry disease

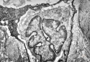
M, 17y. | Fabry disease

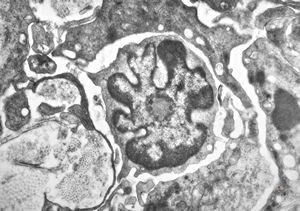
M, 17y. | Fabry disease

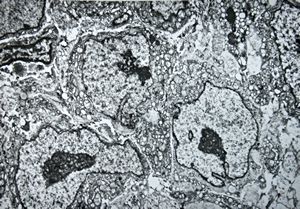
M, 17y. | Fabry disease

M, 48y. | Fabry disease

M, 48y. | Fabry disease

M, 10y. | Coffin-Lowry syndrome

M, 10y. | Coffin-Lowry syndrome

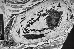
M, 58y. | neurofibroma

M, 58y. | neurofibroma

M, 58y. | neurofibroma
Download PDF with higher resolution
Contents
- Introduction
- 1. Cell and matrix pathology, unusual structures, artifacts
- 2. Infectious agents (viruses, bacteria, fungi, parasites)
- 3. Respiratory tract
- 4. Oral cavity, salivary glands
- 5. Gastrointestinal tract
- 6. Liver, gallbladder, pancreas
- 7. Cardiovascular system
- 8. Blood, bone marrow, spleen, lymphatic system
- 9. Urinary tract
- 10. Male reproductive system
- 11. Female reproductive system
- 12. Breast
- 13. Skin
- 14. Bone and joints
- 15. Soft tissues (connective tissue, muscles, peripheral nerves)
- 16. Endocrine system
- 17. Inborn metabolic disorders
- 18. Eye and ear
- 19. Central and peripheral nervous system
- 20. Atlas of Ultrastructural Neurocytology