
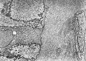
F,2d. | undefined hereditary syndrome, multiplied anomalies, sibling Acornea - keratopathy … missing Bowman membrane, disorganized stromal architecture

M,2m. | undefined hereditary syndrome, multiplied anomalies, sibling Bcornea - keratopathy … missing Bowman membrane, disorganized stromal architecture

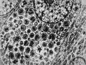
M,48y. | cornea - Fabry disesase

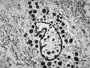
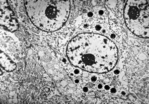
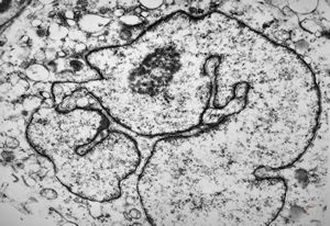
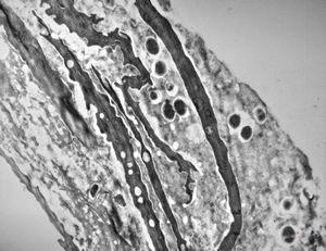
F,72y. | melanoblastoma oculi

F,72y. | melanoblastoma oculi

F,72y. | melanoblastoma oculi

F,72y. | melanoblastoma oculi

F,69y. | cystadenoma (Warthin tumor) … caruncula - (modified mitochondria in an autolysed sample)

F,69y. | cystadenoma (Warthin tumor) … caruncula - (modified mitochondria in an autolysed sample)

M,17y. | Langerhans cell - eosinophilic granuloma (histiocytosis X) - orbita

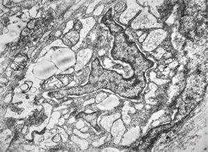
F,12y. | liposarcoma v.s.- orbita

F,12y. | liposarcoma v.s.- orbita

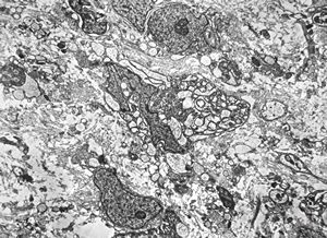
M,15y. | neurinoma - orbita

M,15y. | neurinoma - orbita

M,15y. | neurinoma - orbita

M,15y. | neurinoma - orbita

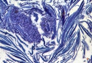
M,68y. | auditory meatus … otitis externa mycotica

M,68y. | auditory meatus … otitis externa mycotica

M,68y. | auditory meatus … otitis externa mycotica - (toluidine-blue- stained semithin section)