Úvod On-line Guide to Diagnostic Electron Microscopy 3. Respiratory tract
On-line Guide to Diagnostic Electron Microscopy

F,7y. | glycocalyx on microvillus - nasal mucosa

F,7y. | glycocalyx on microvillus - nasal mucosa

F,43y. | herpetic tracheobronchitis

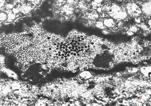
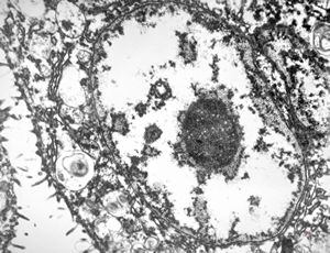
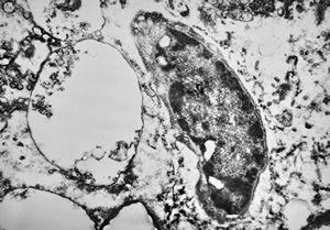
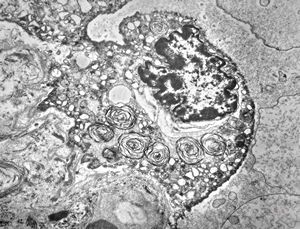
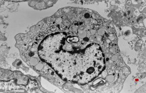
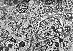
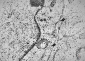
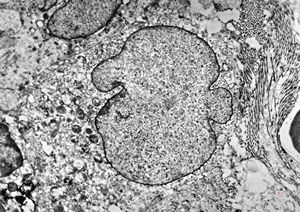
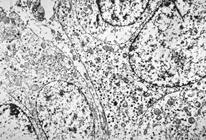
M, | cytomegalovirus - pneumonia

M, | cytomegalovirus - pneumonia

M, | cytomegalovirus - pneumonia

F,8y. | varicellous pneumonia

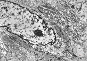
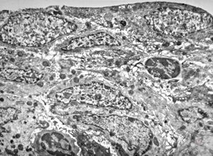
M,51y. | necrotizing pneumonia… unidentified microbes

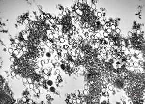
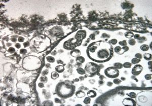
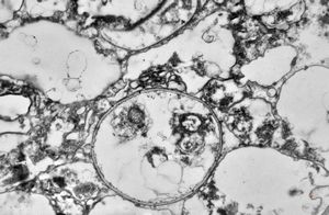
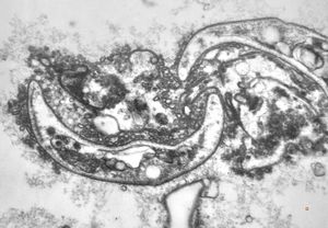
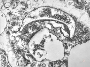
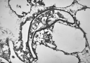
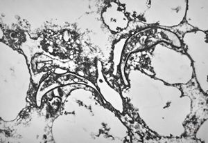
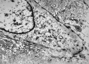
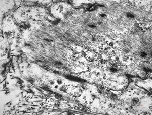
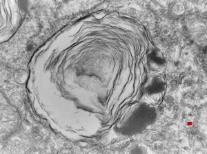
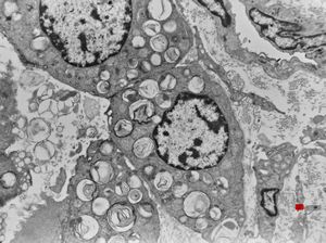
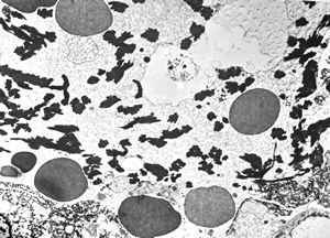
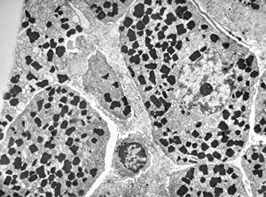
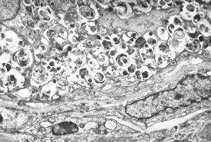
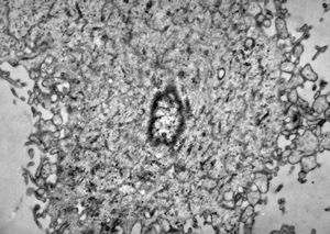
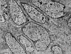
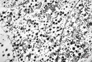
M,50y. | Pneumocystis carinii - lung

M,50y. | Pneumocystis carinii - lung

M,50y. | Pneumocystis carinii - lung

M,50y. | Pneumocystis carinii - lung

M,50y. | Pneumocystis carinii - lung

M,50y. | Pneumocystis carinii - lung

M,50y. | Pneumocystis carinii - lung

M,50y. | Pneumocystis carinii - lung

M,50y. | Pneumocystis carinii - lung

M,50y. | Pneumocystis carinii - lung

M,50y. | Pneumocystis carinii - lung

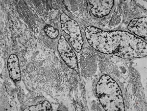
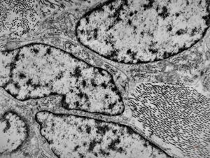
M,52y. | myofibroblastic tumor - pleura

M,52y. | myofibroblastic tumor - pleura

M,52y. | myofibroblastic tumor - pleura

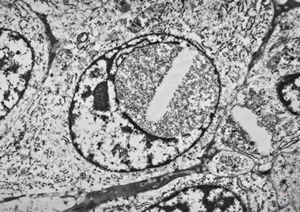
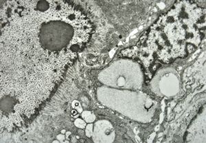
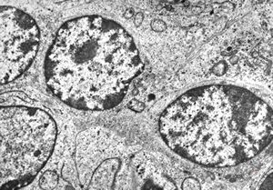
M,3m. | type II. pneumocyte

M,3m. | type II. pneumocyte

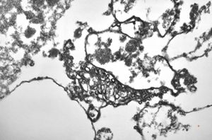
M,3m. | surfactant

M,3m. | surfactant

M,22y. | alveolar macrophage … phagocytosed surfactant

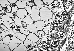
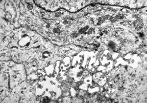
F, 2m. | surfactant deficiency

F, 2m. | surfactant deficiency

F, 2m. | surfactant deficiency

F, 2m. | surfactant deficiency- alveolar macrophage

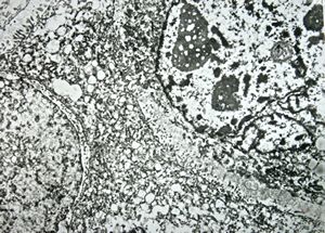
M,60y. | fibrinous pneumonia

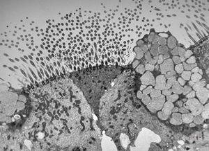
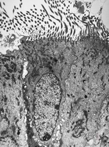
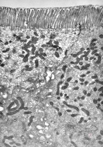
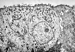
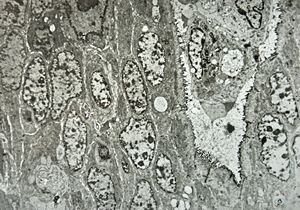
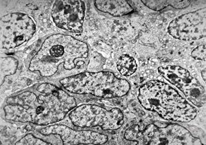
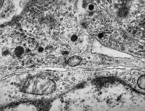
M,22y. | normal bronchial epithelium

M,22y. | normal bronchial epithelium

M,22y. | normal bronchial epithelium

M,22y. | normal bronchial epithelium

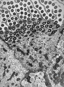
F,7y. | immotile cilia syndrome - nasal mucosa

F,7y. | immotile cilia syndrome - nasal mucosa

M,8y. | immotile cilia syndrome - bronchus

F,5y. | immotile cilia syndrome - nasal mucosa

F,7y. | immotile cilia syndrome - nasal mucosa

F,5y. | immotile cilia syndrome - nasal mucosa

F,5y. | immotile cilia syndrome - nasal mucosa

F,5y. | immotile cilia syndrome - nasal mucosa

F,5y. | immotile cilia syndrome - nasal mucosa

M,12y. | immotile cilia syndrome - nasal mucosa

M,12y. | immotile cilia syndrome - nasal mucosa

M,12y. | immotile cilia syndrome - nasal mucosa

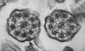
F,49y. | normal kinocilium - bronchus

F,5y. | immotile cilia syndrome - trachea

F,5y. | immotile cilia syndrome - trachea

F,5y. | immotile cilia syndrome - trachea

F,5y. | immotile cilia syndrome - trachea

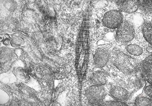
F,5y. | immotile cilia syndrome - rootlet of kinocilia

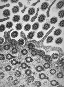
M,18y. | immotile cilia syndrome - bronchus - microvillous prominence

M,18y. | immotile cilia syndrome - bronchus

M,18y. | immotile cilia syndrome - bronchus

M,18y. | immotile cilia syndrome - bronchus

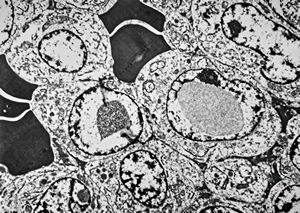
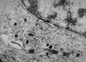
M,62y. | plasmocytoma - nasal cavity

M,62y. | plasmocytoma - nasal cavity

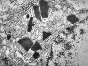
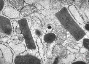
M,59y. | nasopharynx - crystalline inclusions - plasmocytoma

M,59y. | nasopharynx - crystalline inclusions - plasmocytoma

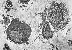
M,14y. | plasmocytoma - nasal cavity, plasmocyte and mastocyte

M,47y. | plasmocytoma - nasopharynx

F,28y. | adenocarcinoma - lung metastasis

M,52y. | adenocarcinoma -lung

M,52y. | adenocarcinoma -lung

F,40y. | granular cell tumor - larynx

M,55y. | small cell carcinoma - lung

M,55y. | small cell carcinoma - lung

F,45y. | small cell carcinoma - lung

F,45y. | small cell carcinoma - lung

M,42y. | malignant mesothelioma - pleura

M,42y. | malignant mesothelioma - pleura

M,42y. | malignant mesothelioma - pleura

M,14y. | eosinophilic granuloma - lung

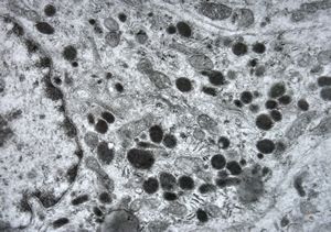
M,55y. | small cell carcinoma - mediastinum

M,55y. | small cell carcinoma - mediastinum

M,55y. | small cell carcinoma - mediastinum

M,55y. | small cell carcinoma - mediastinum

M,64y. | small cell carcinoma - bronchus

F,44y. | carcinoid - lung

F,44y. | carcinoid - lung

M,50y. | fibrous tumor - pleura

M,50y. | fibrous tumor - pleura

cigarette smoke

cigarette smoke
Download PDF with higher resolution
Contents
- Introduction
- 1. Cell and matrix pathology, unusual structures, artifacts
- 2. Infectious agents (viruses, bacteria, fungi, parasites)
- 3. Respiratory tract
- 4. Oral cavity, salivary glands
- 5. Gastrointestinal tract
- 6. Liver, gallbladder, pancreas
- 7. Cardiovascular system
- 8. Blood, bone marrow, spleen, lymphatic system
- 9. Urinary tract
- 10. Male reproductive system
- 11. Female reproductive system
- 12. Breast
- 13. Skin
- 14. Bone and joints
- 15. Soft tissues (connective tissue, muscles, peripheral nerves)
- 16. Endocrine system
- 17. Inborn metabolic disorders
- 18. Eye and ear
- 19. Central and peripheral nervous system
- 20. Atlas of Ultrastructural Neurocytology