Časopis Česko-slovenská patologie
/
Úvod
Zprávy
Aktuální zprávy
Archiv zpráv
Zprávy z IAP
Napsali o nás
Události
Společnost
O společnosti
Výbor a revizní komise
Hlavova a Lamblova cena
Přihláška do společnosti
IAP
Česká divize IAP
Výbor české divize IAP
Přihláška
Standardy
Zápisy
Vzdělávání
On-line Guide to Diagnostic Electron Microscopy
Volná místa
Kontakty
Kontaktní formulář
Adresář pracovišť
Reklama na www a v časopise
Úvod
On-line Guide to Diagnostic Electron Microscopy
11. Female reproductive system
On-line Guide to Diagnostic Electron Microscopy
11. Female reproductive system
Download PDF with higher resolution
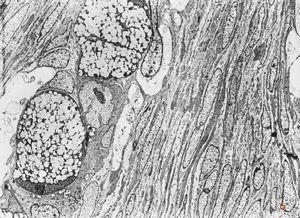
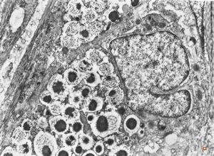
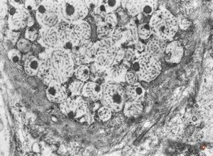
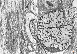
F,31y. | ovary - mucinous carcinoma
F,31y. | ovary - mucinous carcinoma
F,31y. | ovary - mucinous carcinoma
F,31y. | ovary - mucinous carcinoma
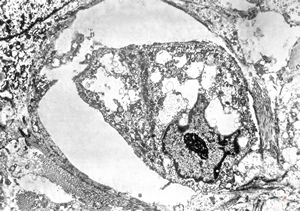
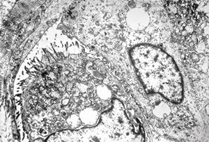
F,38y. | ovary - adenocarcinoma
F,38y. | ovary - adenocarcinoma
Download PDF with higher resolution
011 Female reproductive system.pdf
Next part »
« Previous part
Contents
Introduction
1. Cell and matrix pathology, unusual structures, artifacts
2. Infectious agents (viruses, bacteria, fungi, parasites)
3. Respiratory tract
4. Oral cavity, salivary glands
5. Gastrointestinal tract
6. Liver, gallbladder, pancreas
7. Cardiovascular system
8. Blood, bone marrow, spleen, lymphatic system
9. Urinary tract
10. Male reproductive system
11. Female reproductive system
12. Breast
13. Skin
14. Bone and joints
15. Soft tissues (connective tissue, muscles, peripheral nerves)
16. Endocrine system
17. Inborn metabolic disorders
18. Eye and ear
19. Central and peripheral nervous system
20. Atlas of Ultrastructural Neurocytology