Úvod On-line Guide to Diagnostic Electron Microscopy 19. Central and peripheral nervous system
On-line Guide to Diagnostic Electron Microscopy

http://synapses.clm.utexas.edu

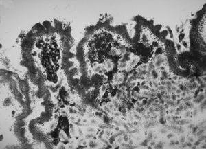
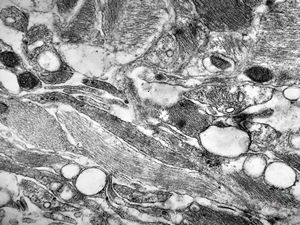
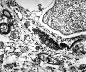
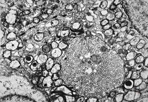
M,10y. | herpetic encephalitis

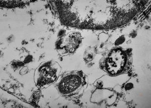
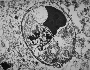
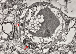
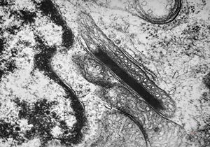
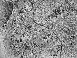
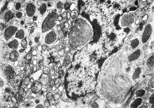
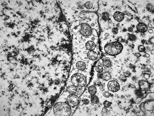
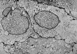
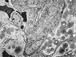
F,50y. | progressive multifocal leukoencephalopathy- viral particles in a glial cell

F,50y. | progressive multifocal leukoencephalopathy- viral particles in a glial cell

F,50y. | progressive multifocal leukoencephalopathy- viral particles in a glial cell

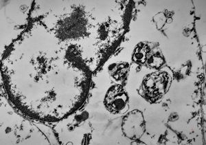
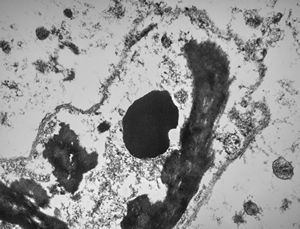
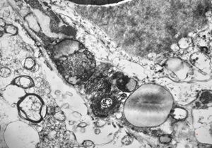
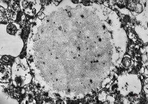
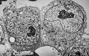
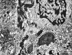
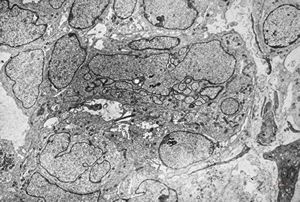
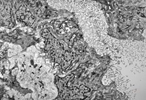
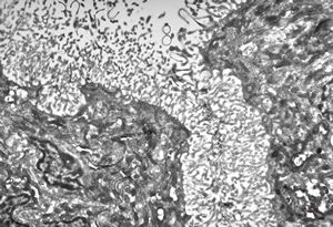
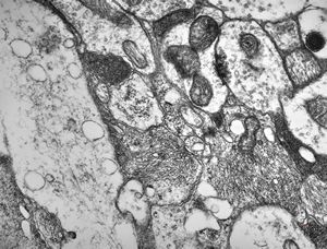
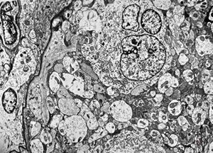
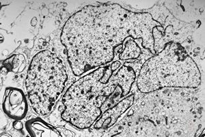
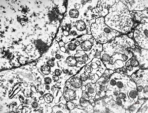
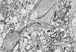
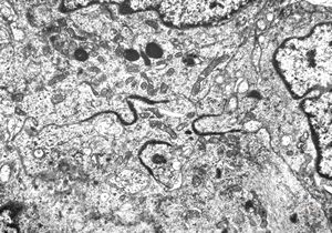
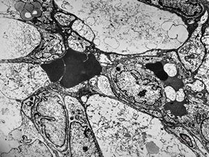
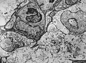
F,49y. | purulent meningitis- meningococcal v.s.

F,49y. | purulent meningitis- meningococcal v.s.

F,49y. | purulent meningitis- meningococcal v.s.

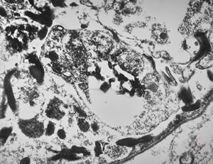
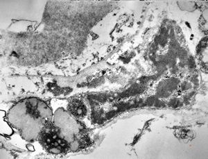
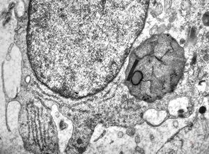
phagocytosed Nocardia (Actinomycetales) … cerebellar absces

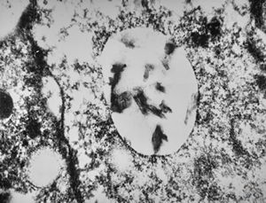
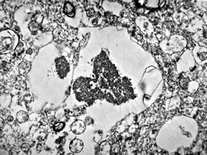
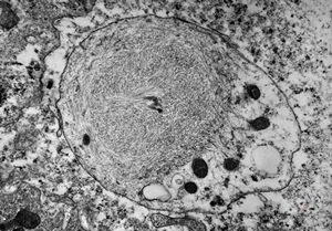
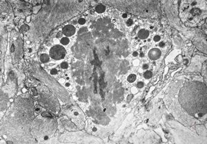
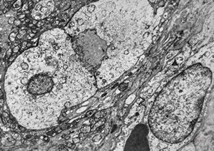
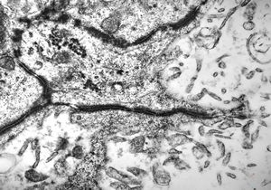
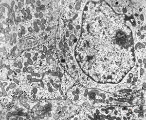
F,3y. | toxoplasmosis

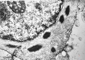
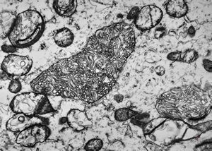
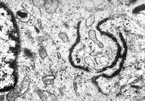
M, | cerebral cortex - malaric pigment

M, | cerebral cortex - malaric pigment

M, | cerebral cortex - malaric pigment

M, | cerebral cortex - malaric pigment

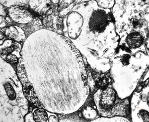
F,17y. | dystrophic calcification in a glial scar

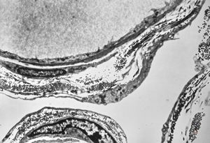
M,6y. | the wall of an arachnoid cyst

F,11y. | the wall of the arachnoid cyst

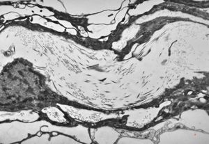
F,47y. | arachnoid cyst

F,25y. | arachnoid cyst

F,13y. | arachnoid cyst

M,6y. | the wall of an arachnoid cyst

M, 63y. | cyst of choroid plexus - dystrophic calcification

M, 63y. | cyst of choroid plexus - dystrophic calcification

M, 63y. | cyst of choroid plexus - dystrophic calcification

M, 63y. | cyst of choroid plexus - dystrophic calcification

M, 63y. | cyst of choroid plexus - dystrophic calcification

F,17y. | dystrophic calcification in a glial scar

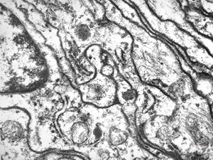
M,26y. | a periphery of a glial scar

M,26y. | a periphery of a glial scar

M,26y. | periphery of a glial scar

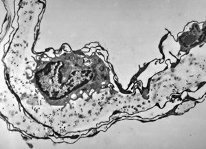
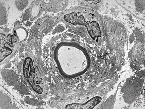
M,71y. | CADASIL accompanied with Alzheimer disease - brain vessel - arrows: granular osmiophilic material (GOM) between basement membranes

M,71y. | CADASIL accompanied with Alzheimer disease - brain vessel - arrows: granular osmiophilic material (GOM) between basement membranes

M,71y. | CADASIL accompanied with Alzheimer disease - brain vessel - arrow: granular osmiophilic material (GOM) in basement membrane

M,71y. | Alzheimer diseaseaccompanied with CADASIL

M,71y. | Alzheimer diseaseaccompanied with CADASIL

M,71y. | Alzheimer diseaseaccompanied with CADASIL

M,71y. | Alzheimer diseaseaccompanied with CADASIL - hyaline body in astrocyte

M,71y. | Alzheimer diseaseaccompanied with CADASIL - hyaline body in astrocyte

M,71y. | Alzheimer diseaseaccompanied with CADASIL - amyloid body

M,71y. | Alzheimer diseaseaccompanied with CADASIL - hyaline body in astrocyte

M,12y. | germinoma - intracellular desmosom

M,12y. | germinoma - intracellular desmosom

M,12y. | germinoma - intramitochondrial lamellar formation

M,12y. | germinoma

M,12y. | germinoma

M,12y. | germinoma

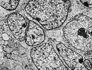
M,21y. | germinoma

M,21y. | germinoma

M,21y. | germinoma

M,21y. | germinoma

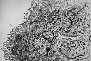
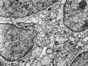
M,1y. | plexus papilloma

M,1y. | plexus papilloma

M,1y. | plexus papilloma

M,1y. | plexus papilloma

M,3y. | plexus papilloma

M,1y. | plexus papilloma

M,1y. | plexus papilloma- solitary kinocilium

F,1y. | plexus papilloma

F,1y. | plexus papilloma

F,1y. | plexus papilloma

M,12y. | plexus papilloma

M,12y. | plexus papilloma

M,12y. | plexus papilloma

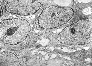
M,13y. | ganglioglioma

M,13y. | ganglioglioma

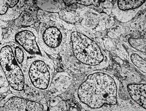
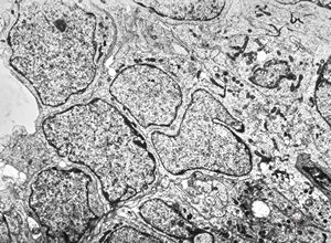
F,8y. | medulloblastoma

M,4y. | medulloblastoma

F,12y. | medulloblastoma

M,4y. | medulloblastoma

F,8y. | medulloblastoma

M,7y. | medulloblastoma

M,7y. | medulloblastoma

F,24y. | gangliocytoma

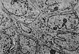
F,8y. | fibrillary astrocytoma

M,12y. | fibrillary astrocytoma

M,11y. | fibrillary astrocytoma

M,11y. | fibrillary astrocytoma

M,11y. | fibrillary astrocytoma

M,11y. | fibrillary astrocytoma

M,38y. | fibrillary astrocytoma

F,15y. | fibrillary astrocytoma

F,14y. | piloidal astrocytoma

M,9y. | astroblastoma

M,9y. | astroblastoma

F,24y. | gangliocytoma

F,24y. | gangliocytoma

F,24y. | gangliocytoma

M,55y. | meningotheliomatous meningeoma

M,55y. | meningotheliomatous meningeoma

F,75y. | meningotheliomatous meningeoma

F,15y. | infantile neuroaxonal dystrophy (Seitelberger)

F,15y. | infantile neuroaxonal dystrophy (Seitelberger)

F,15y. | infantile neuroaxonal dystrophy (Seitelberger)

F,15y. | infantile neuroaxonal dystrophy (Seitelberger)

F,15y. | infantile neuroaxonal dystrophy (Seitelberger)

M,8y. | craniopharyngeoma

M,8y. | craniopharyngeoma

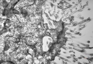
F,44y. | ependymoma

F,44y. | ependymoma

F,44y. | ependymoma

F,44y. | ependymoma

F,11y. | ependymoma

F,11y. | ependymoma

F,11y. | ependymoma

F,7y. | ependymoma

F,7y. | ependymoma- multilayered endothelial basement membrane

F,12y. | oligodendroglioma

F,12y. | oligodendroglioma

F,12y. | oligodendroglioma

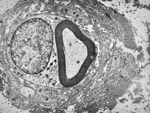
F,49y. | hemangioblastoma

M,39y. | hemangioblastoma

M,39y. | hemangioblastoma

M,21y. | hemangioblastoma

M,46y. | metastasis of the lung adenocarcinoma

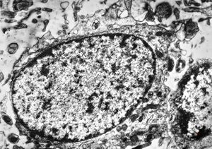
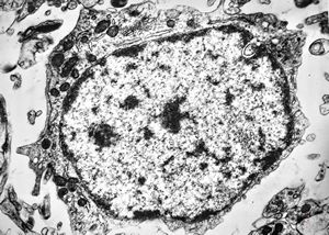
M,15y. | neurinoma fasc. optici

M,15y. | neurinoma fasc. optici

F,49y. | hemangioblastoma

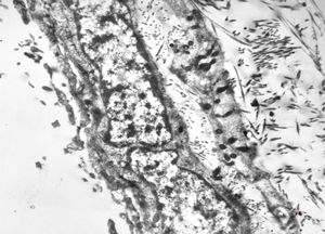
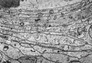
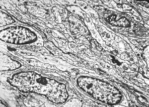
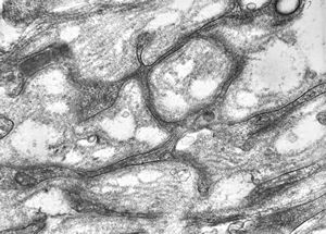
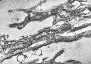
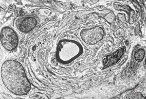
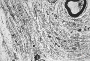
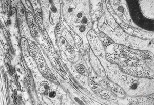
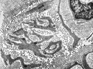
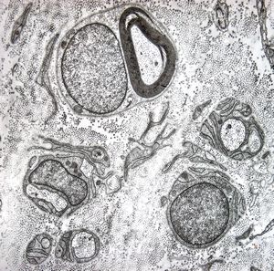
F,13y. | n.suralis … axonal neuropathy … Charcot-Marie-Tooth disease

Demyelinized nerve with bands of Büngner (square, inset) . P- perineurium, | E - epineurium. (Human, sural nerve.) Scale 0.2 mm.

F,2y. | normal n. suralis

n. suralis - hypertrophic demyelinizing neuropathytoluidine-blue-stained semithin section

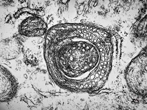
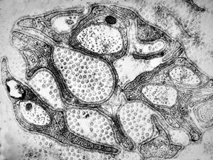
M, | hypertrophic (onion bulb) neuropathy accompanyingmultiple sclerosis

F,23y. | - n.suralis- hypertrophic demyelinizing neuropathy (onion bulbs)

F,23y. | - n.suralis- hypertrophic demyelinizing neuropathy (onion bulbs)

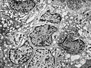
F,12y. | hypertrophic (onion bulb) neuropathy - n.suralis

F,12y. | hypertrophic (onion bulb) neuropathy - n.suralis

F,12y. | hypertrophic (onion bulb) neuropathy - n.suralis

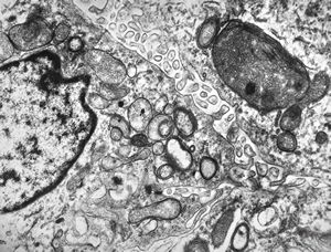
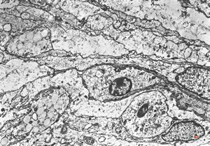
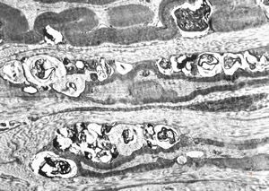
F,31y. | demyelinating hypertrophic neuropathy - n. suralis- bands of Büngner with collagen-filled pockets

M,13y. | - n.suralis - hypertrophic demyelinizing neuropathy

n.suralis - hypertrophic demyelinizing neuropathy

n.suralis - hypertrophic demyelinizing neuropathy

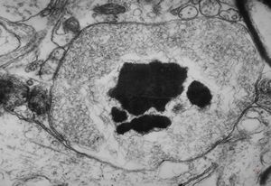
M,3y. | globoid leukodystrophy of Krabbe - n.suralis

M,3y. | globoid leukodystrophy of Krabbe - n.suralis

M,3y. | globoid leukodystrophy of Krabbe - n.suralis

M,3y. | globoid leukodystrophy of Krabbe - n.suralis

M,3y. | globoid leukodystrophy of Krabbe - n.suralis

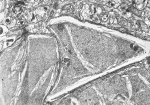
F,8y. | metachromatic leukodystrophy - n.suralis

F,25y. | metachromatic leukodystrophy - n.suralis

F,8y. | metachromatic leukodystrophy - n.suralis

F,25y. | metachromatic leukodystrophy - n.suralis

F,25y. | metachromatic leukodystrophy - n.suralis

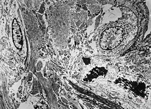
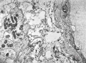
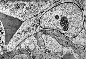
M,47y. | chromophobic pituitary adenoma

rabbit spinal cord trauma

rabbit spinal cord trauma
Download PDF with higher resolution
Contents
- Introduction
- 1. Cell and matrix pathology, unusual structures, artifacts
- 2. Infectious agents (viruses, bacteria, fungi, parasites)
- 3. Respiratory tract
- 4. Oral cavity, salivary glands
- 5. Gastrointestinal tract
- 6. Liver, gallbladder, pancreas
- 7. Cardiovascular system
- 8. Blood, bone marrow, spleen, lymphatic system
- 9. Urinary tract
- 10. Male reproductive system
- 11. Female reproductive system
- 12. Breast
- 13. Skin
- 14. Bone and joints
- 15. Soft tissues (connective tissue, muscles, peripheral nerves)
- 16. Endocrine system
- 17. Inborn metabolic disorders
- 18. Eye and ear
- 19. Central and peripheral nervous system
- 20. Atlas of Ultrastructural Neurocytology