Úvod On-line Guide to Diagnostic Electron Microscopy 7. Cardiovascular system
On-line Guide to Diagnostic Electron Microscopy

normal myocardium (N … nuclei of cardiomyocytes, K … capillaries)

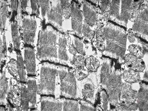
normal cardiomyocyte … longitudinal section(N - nucleus, m … mitochondria, f - myofilaments)

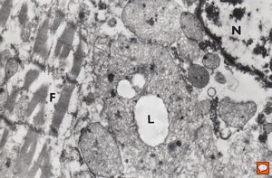
normal cardiomyocyte … longitudinal section(m … mitochondrion, f - myofilaments, L … lipid droplets, arrows … tubulesof sarcoplasmic reticulum)

normal cardiomyocyte … transversal section (m … mitochondria, a … actin, my … myosin, arrow … tubules of s

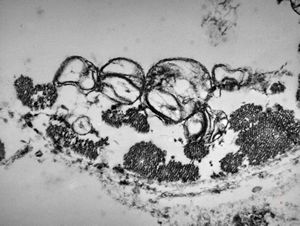
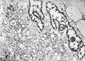
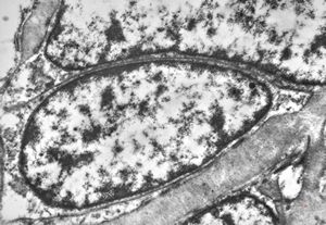
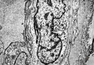
mouse heart atrium … granules of the natriuretic peptide

mouse heart atrium … granules of the natriuretic peptide

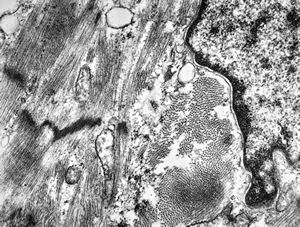
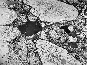
M,22y. | normal heart, endothel, pinocytosis

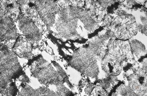
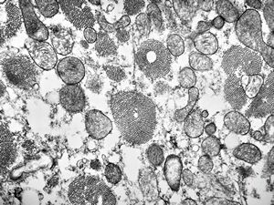
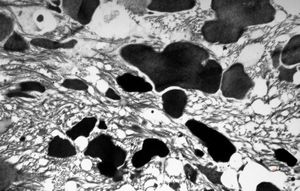
M, 7w. | mitochondrial cardiomyopathy - semithin section(arrows - megamitochondria)

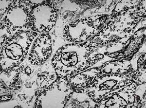
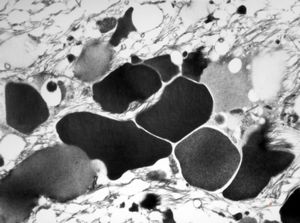
M, 7w. | mitochondrial cardiomyopathy (N - nucleus, M - megamitochondria,R - dilated endoplasmic reticulum)- autopsy sample

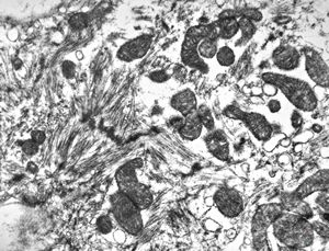
M, 7w. | mitochondrial cardiomyopathy … (N … nucleus, F … myofilaments,L … lipid droplets surrounded by megamito

M, | newborn heart … mitochondrial cardiomyopathy … autopsy sample

M, | newborn heart … mitochondrial cardiomyopathy … reduced mitochondrial cristae … autopsy sample

M,11y. | cardiomyopathy - left ventricle

M,11y. | cardiomyopathy - left ventricle

M,11y. | cardiomyopathy - left ventricle

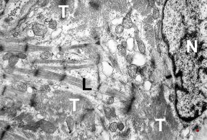
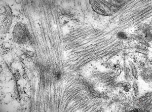
M,47y. | hypertrophic cardiomyopathy - left ventricle ( N - nucleus, T- transversally oriented, L- longitudinally oriented myofibrils )

M,47y. | hypertrophic cardiomyopathy - left ventricle-crossing of myofilaments can also be caused arteficially with bioptom

M,47y. | hypertrophic cardiomyopathy - left ventricle

M,47y. | hypertrophic cardiomyopathy - left ventricle

M,47y. | hypertrophic cardiomyopathy - left ventricle

M,15y. | clin. susp. cardiomyopathy- left ventricle

M,15y. | clin. susp. cardiomyopathy- left ventricle

M,15y. | clin. susp. cardiomyopathy - left ventricle

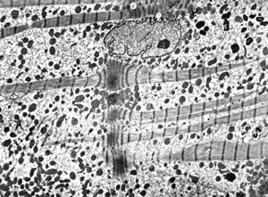
M,42y. | mild endocardial fibrosis - left ventricle (crossing of myofibrils,perhaps artifactual)

M,42y. | mild endocardial fibrosis - left ventricle(focal contractions of myofibrils)

M,42y. | mild endocardial fibrosis - left ventricle (focal contractions of myofibrils)

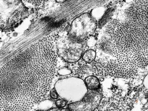
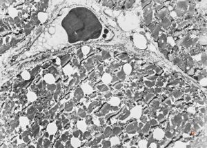
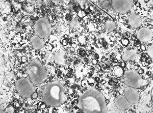
F,58y. | myocardial steatosis

F,27y. | endomyocardial fibrosis

F,27y. | endomyocardial fibrosis

F,27y. | endomyocardial fibrosis

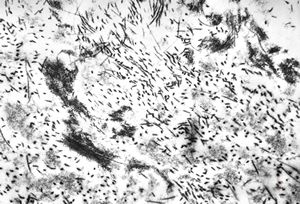
F,53y. | ochronosis … black aortal valve

F,53y. | ochronosis … black aortal valve

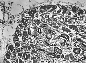
M,45y. | Fabry disease - myocardium

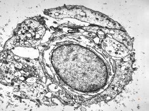
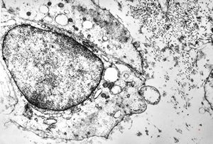
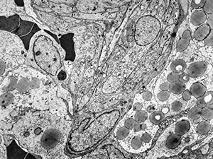
F, 62y. | myxoma atrii

F, 62y. | myxoma atrii

F, 62y. | myxoma atrii

F, 62y. | myxoma atrii

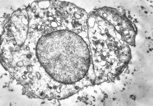
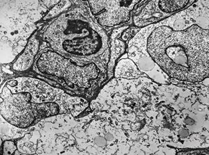
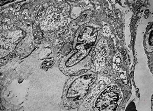
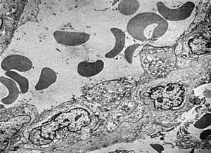
F,68y. | xanthomatous cell in atherosclerotic plaque - a. vertebralis

F,68y. | xanthomatous cell in atherosclerotic plaque - a. vertebralis

F,68y. | xanthomatous cell in atherosclerotic plaque - a. vertebralis

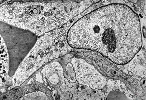
F,43y. | mediastinum - hemangiopericytoma

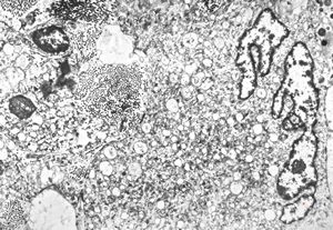
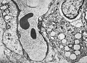
F,49y. | hemangioblastoma - brain

F,49y. | hemangioblastoma - brain

F,49y. | hemangioblastoma - brain

F,49y. | hemangioblastoma - brain

M,28y. | hemangioblastoma - brain

F,49y. | hemangioblastoma - brain

F,6m. | capillary hemangioma - hard palate

F,6m. | capillary hemangioma - hard palate

F,6m. | capillary hemangioma - hard palate

F,48y. | reduplication of endothelial basement membranes - skin - susp. lupus erythematodes

F,48y. | reduplication of endothelial basement membranes - skin - susp. lupus erythematodes

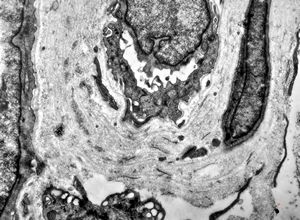
brain vessel - CADASIL - arrows:granular osmiophilic material (GOM)between basement membranes

brain vessel - CADASIL - arrow:granular osmiophilic material (GOM)in basement membrane
Download PDF with higher resolution
Contents
- Introduction
- 1. Cell and matrix pathology, unusual structures, artifacts
- 2. Infectious agents (viruses, bacteria, fungi, parasites)
- 3. Respiratory tract
- 4. Oral cavity, salivary glands
- 5. Gastrointestinal tract
- 6. Liver, gallbladder, pancreas
- 7. Cardiovascular system
- 8. Blood, bone marrow, spleen, lymphatic system
- 9. Urinary tract
- 10. Male reproductive system
- 11. Female reproductive system
- 12. Breast
- 13. Skin
- 14. Bone and joints
- 15. Soft tissues (connective tissue, muscles, peripheral nerves)
- 16. Endocrine system
- 17. Inborn metabolic disorders
- 18. Eye and ear
- 19. Central and peripheral nervous system
- 20. Atlas of Ultrastructural Neurocytology