Úvod On-line Guide to Diagnostic Electron Microscopy 6. Liver, gallbladder, pancreas
On-line Guide to Diagnostic Electron Microscopy

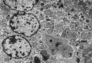
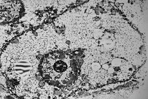
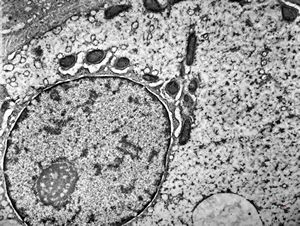
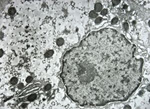
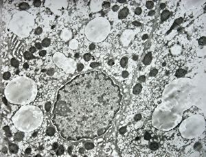
M,3y. | normal hepatocyte

M,19y. | normal hepatocyte

M,19y. | normal hepatocyte

M,2y. | normal hepatocyte

normal hepatocyte

M,2y. | normal hepatocyte

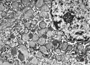
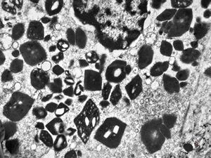
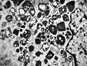
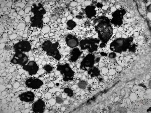
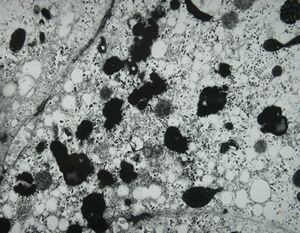
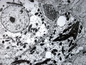
M,58y. | crystalline inclusions in hepatocyte after unknown medication

M,58y. | crystalline inclusions in hepatocyte after unknown medication

M,58y. | crystalline inclusions in hepatocyte after unknown medication

M,58y. | crystalline inclusions in hepatocyte after unknown medication

M,58y. | crystalline inclusions in hepatocyte after unknown medication

M,58y. | crystalline inclusions in hepatocyte after unknown medication

M,58y. | crystalline inclusions in hepatocyte after unknown medication

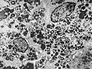
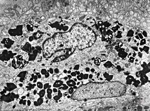
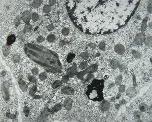
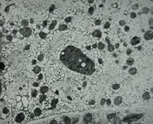
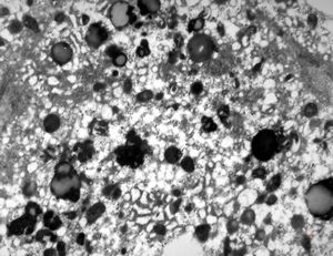
M,66y. | siderosomes

M,66y. | siderosomes

M,66y. | hemosiderin - siderosomes

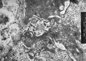
F,33y. | "ground glass" hepatocyte … filamentous inclusions ofhepatitis B surface antigen(HBsA)

M,67y. | alcoholic hyalin (Mallory body) … autopsy sample

M,15y. | normal primary bile duct

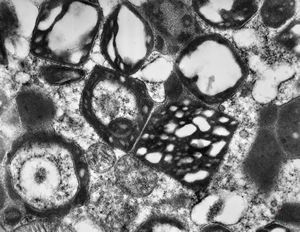
M,2y. | peroxisomes - Zellweger syndrome

M,16y. | lipofuscin - hyperbilirubinaemia - Gilbert or Dubin-Johnson syndrome

M,17y. | lipofuscin - hyperbilirubinaemia - Gilbert or Dubin-Johnson syndrome

M,16y. | lipofuscin - hyperbilirubinaemia - Gilbert or Dubin-Johnson syndrome

M,17y. | hyperbilirubinaemia - lipofuscin - Gilbert or Dubin-Johnson syndrome

F,12y. | lipofuscin - hyperbilirubinaemia - Gilbert or Dubin-Johnson syndrome

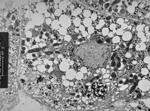
F,1y. | steatosis - Reye hepatocerebral syndrome

F,1y. | steatosis - Reye hepatocerebral syndrome

F,1y. | mitochondrial changes - Reye hepatocerebral syndrome

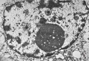
M,5y. | activated nucleolus - Reye hepatocerebral syndrome

M,5y. | mitochondrial changes - Reye hepatocerebral syndrome

M,5y. | mitochondrial changes - Reye hepatocerebral syndrome

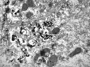
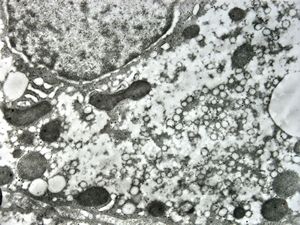
M,5m. | intracellular cholestasis - atresia of biliary ducts

M,27y. | intracellular cholestasis - intoxication

M,27y. | intracellular cholestasis - intoxication

M,27y. | intracellular cholestasis - intoxication

F,2m. | intracellular cholestasis - atresia of biliary ducts

M,18y. | dilated primary bile ducts - blocked bile transport

M,18y. | dilated primary bile ducts - blocked bile transport

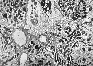
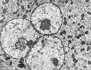
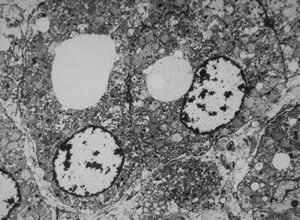
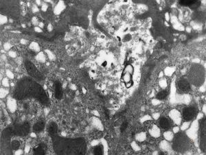
F,3m. | giant cell hepatitis - cholestasis

F,3m. | giant cell hepatitis

F,61y. | giant cell hepatitis - nuclear pseudoinclusion

F,61y. | giant cell hepatitis

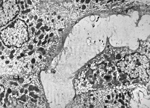
F,7m. | giant cell hepatitis

F,7m. | giant cell hepatitis

F,7m. | giant cell hepatitis

F,7m. | giant cell hepatitis

F,7m. | giant cell hepatitis- intracellular cholestasis

F,7m. | giant cell hepatitis-C-collagen fibers

F,7m. | giant cell hepatitis* - dilated primary bile duct

F,7m. | giant cell hepatitis* - dilated bile duct

F,17y. | congenital liver fibrosis … myelinoid inclusions

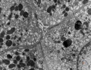
M,16y. | Wilson disease susp.

M,13y. | Wilson disease

M,7y. | Wilson disease susp.

M,7y. | Wilson disease susp.

M,8y. | Wilson disease susp.

M,8y. | Wilson disease susp.

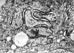
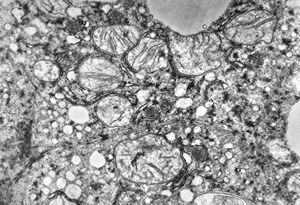
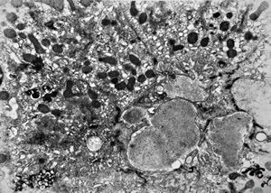
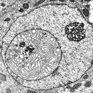
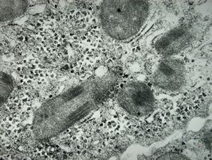
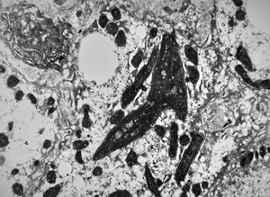
M,15y. | Wilson disease - megamitochondria

M,15y. | Wilson disease

M,15y. | Wilson disease - megamitochondria

M,15y. | Wilson disease - megamitochondria

M,15y. | Wilson disease - megamitochondria

M,15y. | Wilson disease - megamitochondria

M,15y. | Wilson disease - megamitochondria

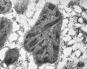
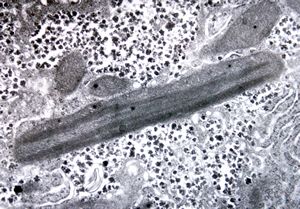
F,14y. | megamitochondria - Wilson disease

F,14y. | megamitochondria - Wilson disease

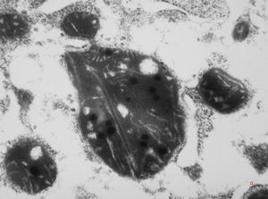
F,6y. | Wilson disease - megamitochondrion

F,6y. | Wilson disease - megamitochondrion

F,6y. | Wilson disease

M,15y. | Wilson disease susp.

M,18y. | megamitochondria - Wilson disease

M,11y. | megamitochondria - Wilson disease

F,17y. | megamitochondria - Wilson disease

F,17y. | megamitochondria - Wilson disease

M,7y. | Wilson disease susp.

F,17y. | megamitochondria - Wilson disease

F,17y. | megamitochondria - Wilson disease

M, | newborn mitochondrial cardiomyopathy … autopsy sample from liver

M, | newborn mitochondrial cardiomyopathy … autopsy sample from liver

M, | newborn mitochondrial cardiomyopathy … autopsy sample from liver

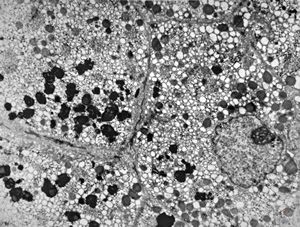
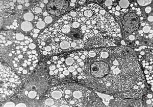
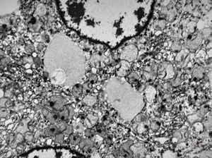
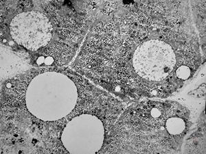
M,11y. | steatosis

M,14y. | steatosis

M,15y. | steatosis

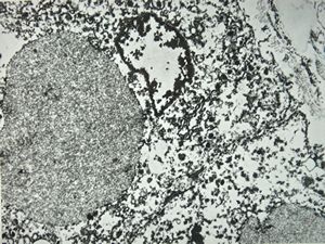
M,17y. | liver cirrhosis

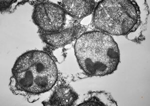
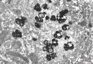
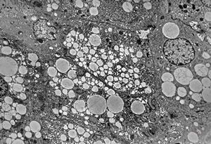
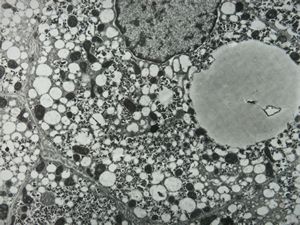
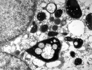
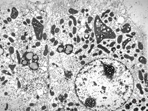
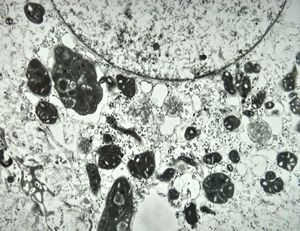
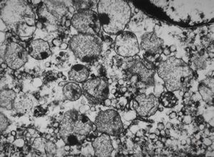
F,32y. | M. Gaucher

F,32y. | M. Gaucher

F,32y. | M. Gaucher

F,32y. | M. Gaucher

M,1y. | glycogenosis type I.(glycogen dissolved due to UA blockstaining)

F,1y. | glycogenosis type II.(glycogen dissolved due to UA blockstaining)

F,1y. | glycogenosis type II. (glycogen dissolved due to UA blockstaining)

F,1y. | glycogenosis type II. (glycogen dissolved due to UA blockstaining)

F,1y. | glycogenosis type II. (glycogen dissolved due to UA blockstaining)

F,1y. | glycogenosis type II. (glycogen dissolved due to UA blockstaining)

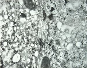
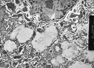
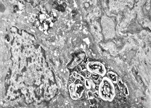
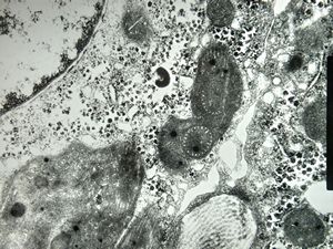
F,3y. | extracellular cholestasis- dilated primary bile duct filled withgranular material

F,3y. | extracellular cholestasis- reduced microvilli in primary bile duct

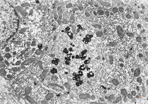
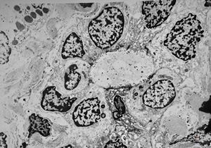
F,45y. | metastasis - carcinoid

F,45y. | metastasis - carcinoid
Download PDF with higher resolution
Contents
- Introduction
- 1. Cell and matrix pathology, unusual structures, artifacts
- 2. Infectious agents (viruses, bacteria, fungi, parasites)
- 3. Respiratory tract
- 4. Oral cavity, salivary glands
- 5. Gastrointestinal tract
- 6. Liver, gallbladder, pancreas
- 7. Cardiovascular system
- 8. Blood, bone marrow, spleen, lymphatic system
- 9. Urinary tract
- 10. Male reproductive system
- 11. Female reproductive system
- 12. Breast
- 13. Skin
- 14. Bone and joints
- 15. Soft tissues (connective tissue, muscles, peripheral nerves)
- 16. Endocrine system
- 17. Inborn metabolic disorders
- 18. Eye and ear
- 19. Central and peripheral nervous system
- 20. Atlas of Ultrastructural Neurocytology